
El 35.4% del presupuesto aprobado será enfocado a la articulación de bienes y servicios públicos relacionados con la Estrategia Nacional de Desarrollo.
Los incidentes, incluidos más de 150 en Connecticut, pueden ser costosos y, en algunos casos, mortales.
General07 de abril de 2025 incertidumbre
Durante una semana después de su cirugía, el abdomen de Emily Abney-Acostaala, de 26 años, se hinchó. Era tan tierno que una camisa apretada era demasiada presión. No podía levantarse directamente del dolor ni levantar a sus hijos pequeños.
En septiembre de 2018, se apresuró a un departamento de emergencias en Frisco, Texas. Fue evaluada y aseguró que su incisión eventualmente sanaría, dijo.
Luego, Abney-Acosta se despertó para descubrir que la herida de una pulgada de largo se había abierto y rezumaba líquido. Ella cambió el vestido todos los días durante meses. El dolor persistió y su núcleo se sintió débil.
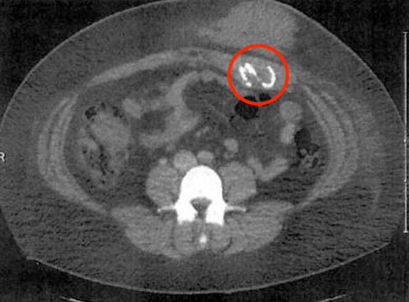
Después de nueve meses, Abney-Acosta buscó una segunda opinión. El nuevo cirujano hizo un gesto hacia algo que los otros médicos habían perdido en su CT-scan —, la forma de una S curva dentro de su abdomen.
“Eso es una esponja,”, dijo.
Una esponja quedó dentro de Emily Abney-Acosta después de una cirugía en Texas en 2018. Aparece en esta radiografía en el círculo rojo.Contribuido por Emily Abney-Acosta
Un paciente termina la cirugía con un objeto dejado involuntariamente dentro de su cuerpo al menos una vez al día en un año promedio, según una investigación de Hearst Newspapers de los casos de la última década. Los cirujanos olvidan inadvertidamente esponjas, alambres, agujas, brocas, instrumentos, fragmentos de herramientas rotas y otros materiales quirúrgicos dentro de los pacientes. Algunos se eliminan rápidamente sin daños duraderos, mientras que otros persisten causando infección, dolor, cirugías adicionales e incluso la muerte.
Los casos, conocidos en el campo como “elementos quirúrgicos retenidos,” son ocurrencias raras que muchos profesionales médicos están de acuerdo son en gran medida prevenibles y nunca deberían suceder.
No hay una fuente nacional que cuente todos los incidentes, pero Hearst Newspapers identificó miles de casos de artículos quirúrgicos que quedaron en pacientes informados en datos de salud nacionales y estatales entre 2015 y 2023. Esos casos representan una fracción de un número mucho mayor, según muestran años de investigación médica.

El 35.4% del presupuesto aprobado será enfocado a la articulación de bienes y servicios públicos relacionados con la Estrategia Nacional de Desarrollo.

La licitación del Ministerio de Turismo impulsa la construcción de infraestructura de servicios en la playa Monte Río.

Collado dice que esa obra tendrá un gran impacto en el turismo, especialmente en los turistas que llegan y salen del país por el AILA.

El Minerd reiteró el llamado a padres, madres y tutores a garantizar la asistencia y puntualidad de los estudiantes desde el primer día de reinicio

“Este liceo representa una apuesta clara por una educación secundaria de calidad, articulada con la educación superior y respaldada por la experiencia académica de la Universidad Autónoma de Santo Domingo, nuestra primada de América”, sostuvo De Camps.

Estos flujos son superiores en US$1,028.3 millones a lo recibido en el mismo periodo de 2024, por lo que la entidad proyecta remesas por encima de los US$11,700 millones al cierre de 2025.